当院は年中無休で診療しております。

  
このブロックはスマートフォンの画面サイズで非表示設定になっています
公開ページで表示したい場合は「ブロックの設定」から変更してください

お電話からの無料相談予約も受け付けています

受付時間:10:00-19:00
  
このブロックはPCの画面サイズで非表示設定になっています
公開ページで表示したい場合は「ブロックの設定」から変更してください

お電話からの無料相談予約も
受け付けています

受付時間:10:00-19:00
余白(40px)
  
このブロックはスマートフォンの画面サイズで非表示設定になっています
公開ページで表示したい場合は「ブロックの設定」から変更してください


あなたもあの頃の笑顔を取り戻しませんか?

  
このブロックはPCの画面サイズで非表示設定になっています
公開ページで表示したい場合は「ブロックの設定」から変更してください


あなたもあの頃の笑顔を
取り戻しませんか?


当院は
できる限り歯を残す治療方針を
大切にしています。

歯周組織の状態や
保存の可能性を丁寧に診断し
インプラント治療は
保存が難しいと判断された場合にのみ
ご提案しています。

複数の治療選択肢を提示し
患者さまのご希望を伺いながら
決定いたしますのでご安心ください。

年中無休で診療しており
急なお痛みやトラブルに
もできる範囲で迅速に対応します。

実際の治療結果をご覧ください

※治療結果には個人差があります。すべての方に
 同様の結果をお約束するものではありません。
余白(20px)
  
このブロックはスマートフォンの画面サイズで非表示設定になっています
公開ページで表示したい場合は「ブロックの設定」から変更してください

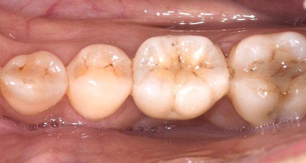
治療例1:左下6インプラント治療(50代・女性)

Before

After

治療前:歯がなくなってしまい、不安だった
治療後:インプラントが入り、自分の歯と同じ様に噛めるし、
見た目も自然でとても嬉しく感謝してます。
治療期間:約4ヶ月、費用:約40万円
副作用・リスク:術後に腫れや痛みを伴う場合があります。

感想:抜歯と同時にインプラントが出来て、
時間や見た目などの希望も配慮してくれてとても感謝しています!
痛みもほとんどなく、メインテナンスなどの注意点も
最初のカウンセリングで教えていただいたので安心でした。
これからもよろしくお願いいたします。
  
このブロックはPCの画面サイズで非表示設定になっています
公開ページで表示したい場合は「ブロックの設定」から変更してください

治療例1:左下6インプラント治療
(50代・女性)

Before

After

治療前:歯がなくなってしまい、不安だった
治療後:インプラントが入り、自分の歯と
同じ様に噛めるし、見た目も自然でとても嬉しく
感謝してます。
治療期間:約4ヶ月、費用:約40万円
副作用・リスク:術後に腫れや痛みを伴う場合が
あります。

感想:抜歯と同時にインプラントが出来て、
時間や見た目などの希望も配慮してくれて
とても感謝しています!
痛みもほとんどなく、メインテナンスなどの
注意点も最初のカウンセリングで
教えていただいたので安心でした。
これからもよろしくお願いいたします。
  
このブロックはスマートフォンの画面サイズで非表示設定になっています
公開ページで表示したい場合は「ブロックの設定」から変更してください

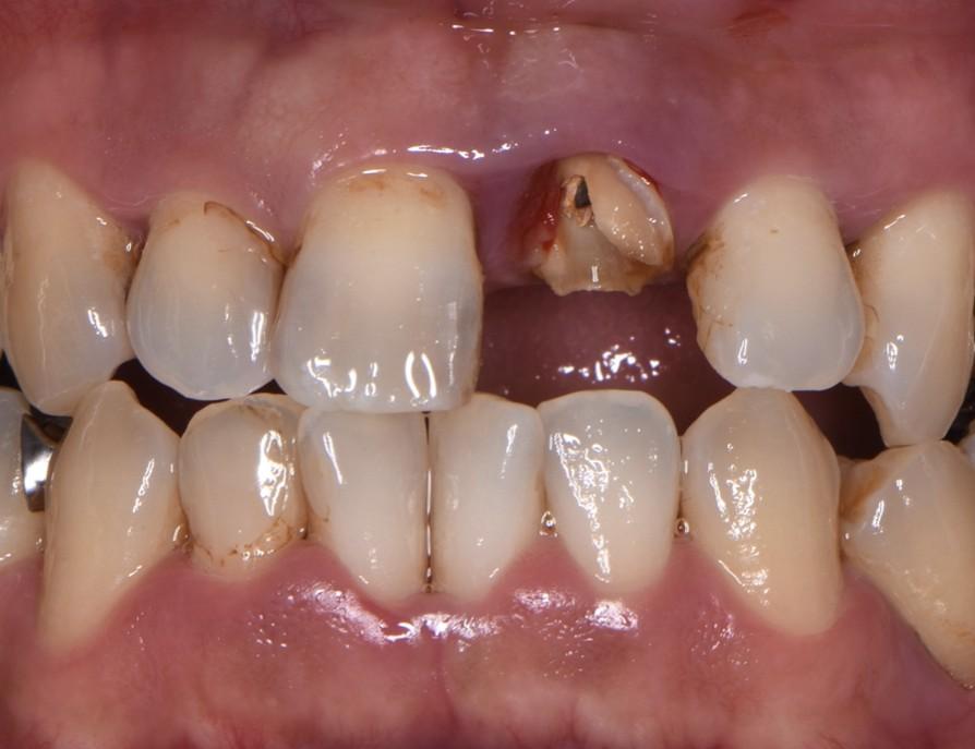
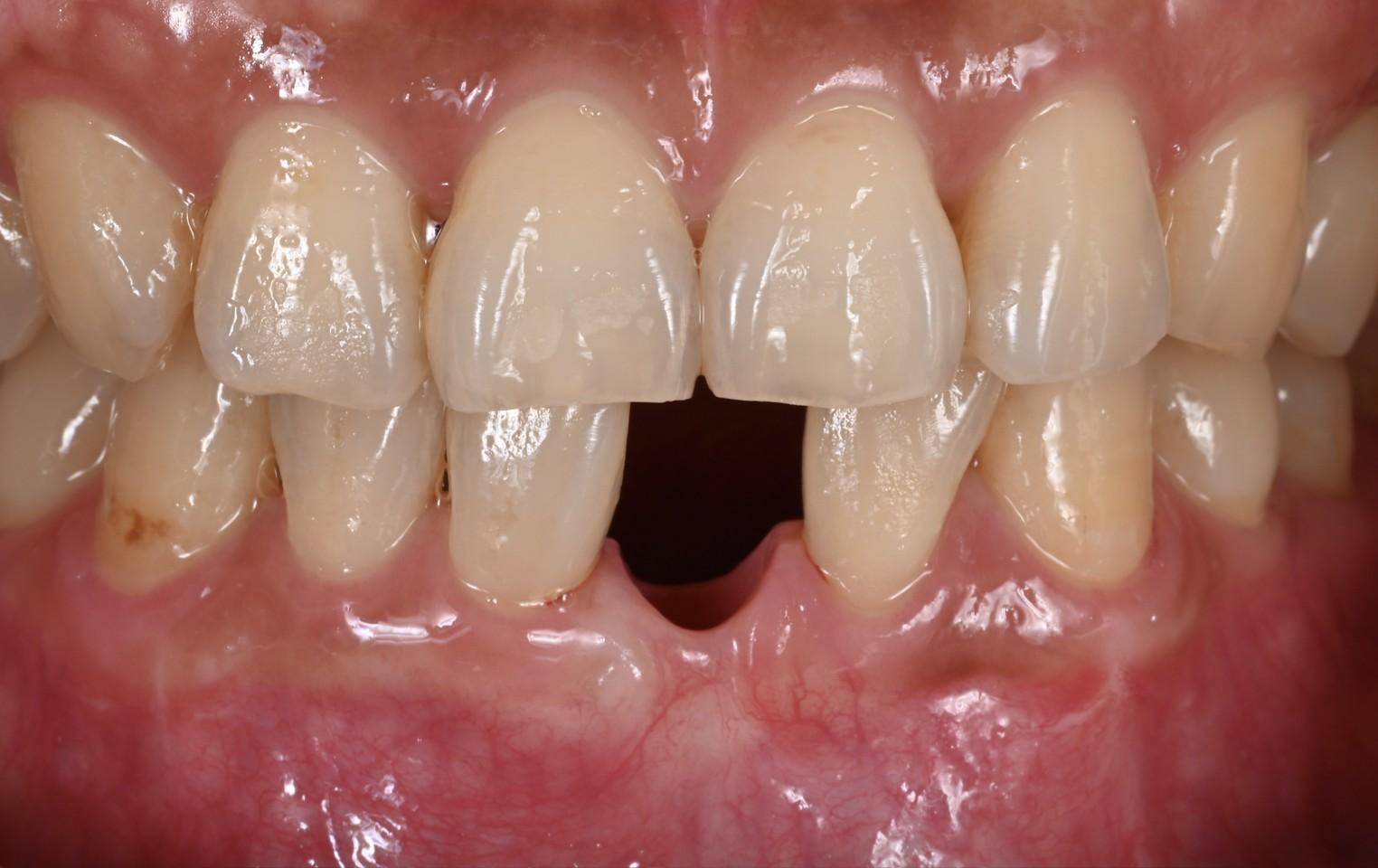
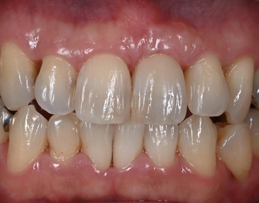
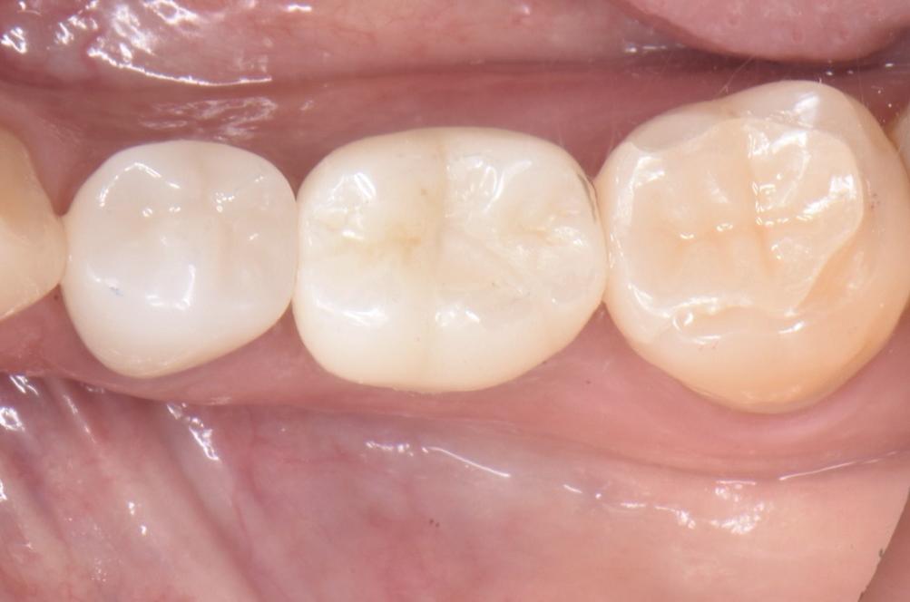
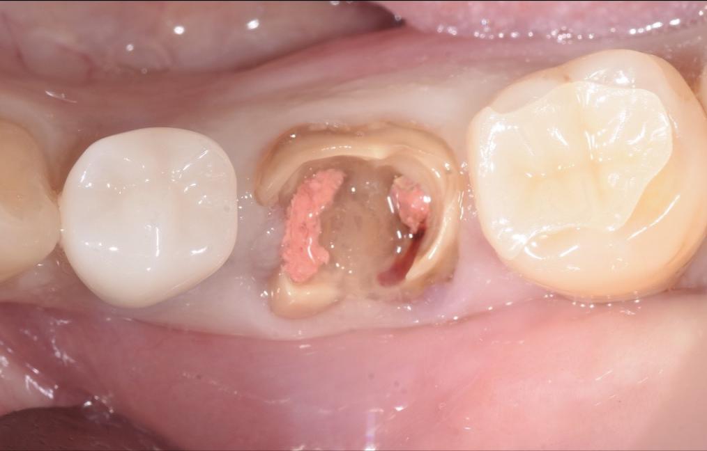
治療例2:インプラント治療(40代・男性)

Before

After

治療前:前歯が完全に割れてしまった。
治療後:自然で美しい歯が入り、しっかり噛めるようになった。
治療期間:約10ヶ月、費用:約45万円
副作用・リスク:天然歯と同じで歯周病のリスクは多少なりともありますので、
定期検診は受診された方が良いです。

感想:前歯が完全に割れてしまい、どう治療すれば良いのか分からず不安でした。
先生に相談すると、丁寧に説明してくださり気持ちも落ち着き、治療を決断できました。
手術は痛みもほとんどなく、自然で美しい歯が入りとても満足しています。
しっかり噛めるようになり、今では定期的にメンテナンスにも通っています。
  
このブロックはPCの画面サイズで非表示設定になっています
公開ページで表示したい場合は「ブロックの設定」から変更してください

治療例2:インプラント治療
(40代・男性)

Before

After

治療前:前歯が完全に割れてしまった。
治療後:自然で美しい歯が入り、しっかり噛めるようになった。
治療期間:約10ヶ月、費用:約45万円
副作用・リスク:天然歯と同じで歯周病のリスクは
多少なりともありますので、定期検診は受診された方が
良いです。

感想:前歯が完全に割れてしまい、
どう治療すれば良いのか分からず不安でした。
先生に相談すると、丁寧に説明してくださり
気持ちも落ち着き、治療を決断できました。
手術は痛みもほとんどなく、
自然で美しい歯が入りとても満足しています。
しっかり噛めるようになり、
今では定期的にメンテナンスにも通っています。

詳細な症例写真は、
カウンセリング時にご覧いただけます

※結果や感想には個人差がございます。
※インプラント治療は自由診療です。
余白(40px)
  
このブロックはスマートフォンの画面サイズで非表示設定になっています
公開ページで表示したい場合は「ブロックの設定」から変更してください

こんなお悩み、ありませんか?

  
このブロックはPCの画面サイズで非表示設定になっています
公開ページで表示したい場合は「ブロックの設定」から変更してください

こんなお悩み、
ありませんか?

  • 入れ歯が外れそうで人前で笑うのを
    ためらってしまう
  • 部分入れ歯の金属が見えるのが気になって
    口を開けにくい
  • 硬いものが噛めず、好きな食べ物を諦めている
  • 入れ歯の違和感で話しづらい
  • 孫と一緒に写真を撮るとき、
    つい口元を手で隠してしまう
  • 健康な歯をこれ以上削りたくない
  • 友人との食事会で、
    歯のことが気になって料理に集中できない
  • マスクを外すのが恥ずかしくて、
    おしゃれなカフェに行きづらい
  • 口元を気にして、好きな口紅の色を楽しめない
  • 歯並びが気になって、
    素敵な洋服を着ても自信が持てない
  • ここをクリックして表示したいテキストを入力してください。
余白(40px)
  
このブロックはスマートフォンの画面サイズで非表示設定になっています
公開ページで表示したい場合は「ブロックの設定」から変更してください


そのお悩み、
インプラント治療という選択肢があります


  
このブロックはPCの画面サイズで非表示設定になっています
公開ページで表示したい場合は「ブロックの設定」から変更してください


そのお悩み、
インプラント治療という
選択肢があります


余白(40px)

インプラント治療とは

歯を失った際の治療は、
入れ歯やブリッジが一般的でしたが、
最近ではインプラント治療が
第3の治療法として多くの方に
選ばれています。
インプラント治療は、
チタン製の人工歯根を顎の骨に埋め込み、
その上に人工歯を装着する治療法です。
人が強く噛む時には約100キロもの力が
かかりますが、インプラントは顎の骨に
しっかりと固定されるため、硬いものでも
噛むことができると期待できます。

※治療効果には個人差があります
余白(40px)
  
このブロックはスマートフォンの画面サイズで非表示設定になっています
公開ページで表示したい場合は「ブロックの設定」から変更してください


なぜクリーン歯科のインプラント治療が選ばれるのか

  
このブロックはPCの画面サイズで非表示設定になっています
公開ページで表示したい場合は「ブロックの設定」から変更してください


なぜクリーン歯科の
インプラント治療が
選ばれるのか


【画像表示位置の設定】を使用すると画像が正しい比率で表示されない可能性があります

1. 1000件以上の症例経験

豊富な症例経験を持つ歯科医師が、
一人ひとりの症例に丁寧に対応。
他院で「困難」と診断されたケースに
ついてもご相談をお受けしています。
【画像表示位置の設定】を使用すると画像が正しい比率で表示されない可能性があります

2. 女性にやさしい
  丁寧なカウンセリング

「不安やご希望をじっくり伺い、
一緒に治療方針を検討していきます」

治療内容や費用・期間についても、
わかりやすくご説明。
どんな小さな不安も
遠慮なくご相談ください。
【画像表示位置の設定】を使用すると画像が正しい比率で表示されない可能性があります

3. 精密検査による治療計画

CT完備で詳細な検査を実施
コンピュータシミュレーションによる
治療計画立案

治療前の綿密な準備により、
手術時間の短縮を図ります。
【画像表示位置の設定】を使用すると画像が正しい比率で表示されない可能性があります

4. 様々な症例への対応

「他院で断われた方もご相談ください」
骨造成術(GBR、上顎洞底挙上術)など、様々な治療法に対応しています。
【画像表示位置の設定】を使用すると画像が正しい比率で表示されない可能性があります

5. 審美性を重視した治療

「天然歯のように自然な仕上がり」を
目指します

周囲の歯と調和した、自然な美しさの
実現に努めています。
余白(40px)


インプラント治療の3つの大きなメリット


メリット1
天然歯に近い咬み心地
顎の骨にしっかりと固定されるため、
天然歯に近い咬合力が期待できます。
(※個人差があります)
メリット2
違和感を感じにくい自然な見た目
歯茎から自然に歯が生えているような
状態の再現を目指します。部分入れ歯の
金属の留め具が見える心配もありません。
メリット3
周りの健康な歯への配慮
ブリッジは健康な歯を約60%削ります。
入れ歯の場合も健康な歯を削り、
その歯に引っかけます。
インプラント治療は天然歯を削る必要が
なく、残った歯への負担軽減が大きく
期待できます。
メリット
ここをクリックして表示したいテキストを入力してください。
ここをクリックして表示したいテキストを入力してください。テキストは「右寄せ」「中央寄せ」「左寄せ」といった整列方向、「太字」「斜体」「下線」「取り消し線」、「文字サイズ」「文字色」「文字の背景色」など細かく編集することができます。テキストテキストテキストテキストテキストテキストテキストテキストテキスト...。テキストテキストテキストテキストテキストテキストテキストテキストテキスト...。テキストテキストテキストテキストテキストテキストテキストテキストテキスト...。
余白(40px)
  
このブロックはスマートフォンの画面サイズで非表示設定になっています
公開ページで表示したい場合は「ブロックの設定」から変更してください

治療の流れ - 安心の6ステップ

  
このブロックはPCの画面サイズで非表示設定になっています
公開ページで表示したい場合は「ブロックの設定」から変更してください

治療の流れ
- 安心の6ステップ

Step
1
精密な検査
レントゲンや歯科用CTでお口の中を
立体的にスキャン。骨の厚みや神経の
位置を正確に把握します。
Step
2
コンピュータシミュレーション
どの部位にどの角度でインプラントを
埋入するかをコンピュータ上で
シミュレーション。適切な治療計画の
立案に努めます。
Step
3
丁寧なカウンセリング
検査結果やプランの詳細をわかりやすく
ご説明。治療期間や費用についても
丁寧にお話しします。
Step
4
治療前クリーニング
歯科衛生士が専用器具で徹底的にお口の
中を清掃。術後の感染リスクを抑えます。
Step
5
インプラント治療
患者様の症状に応じて1回法または2回法で
行います。丁寧な手術により、患者様の
負担軽減に努めます。
Step
6
仮歯から最終仕上げ
仮歯で噛み合わせを確認・調整後、
セラミックの美しい最終的な被せ物を
装着して完了です。
Step
1
見出し
ここをクリックして表示したいテキストを入力してください。テキストは「右寄せ」「中央寄せ」「左寄せ」といった整列方向、「太字」「斜体」「下線」「取り消し線」、「文字サイズ」「文字色」「文字の背景色」など細かく編集することができます。テキストテキストテキストテキストテキストテキストテキストテキストテキスト...。テキストテキストテキストテキストテキストテキストテキストテキストテキスト...。テキストテキストテキストテキストテキストテキストテキストテキストテキスト...。
余白(40px)
  
このブロックはスマートフォンの画面サイズで非表示設定になっています
公開ページで表示したい場合は「ブロックの設定」から変更してください


長持ちする秘訣は
「正確な診断と確かな技術とメンテナンスです」


  
このブロックはPCの画面サイズで非表示設定になっています
公開ページで表示したい場合は「ブロックの設定」から変更してください


長持ちする秘訣は
「正確な診断と確かな技術と
メンテナンスです」


治療後のサポートも万全です

定期メンテナンス内容

  • 3~6か月毎のクリーニング/チェック
  • 1年毎のレントゲンによる
  骨の状態確認
  • インプラント周囲炎等の早期発見・早期治療
  • ご自宅での最適なブラッシング指導

チーム医療によるトータルサポート

歯科医師・歯科衛生士・歯科技工士との
密な連携により、メンテナンスまで徹底的に
サポートしていきます。
余白(20px)
  
このブロックはスマートフォンの画面サイズで非表示設定になっています
公開ページで表示したい場合は「ブロックの設定」から変更してください


患者様の声・ビフォーアフター

  
このブロックはPCの画面サイズで非表示設定になっています
公開ページで表示したい場合は「ブロックの設定」から変更してください


患者様の声
ビフォーアフター


  
このブロックはスマートフォンの画面サイズで非表示設定になっています
公開ページで表示したい場合は「ブロックの設定」から変更してください

左上1番 インプラント治療/40代男性

10年前につけた差し歯が取れてしまい、骨が少なく「インプラント治療はできない」と他院で言われて悩んでいました。
知人の紹介でクリーン歯科を受診したところ、先生と衛生士さんがとても親身に話を聞いてくださり、不安も安心に変わりました。

治療中は少し怖さもありましたが、痛みもほとんどなく、仕上がりは本当に自然で綺麗。見た目も噛み心地も大満足です。
「インプラントをやって本当に良かった」と心から思っています。これからも定期検診に通い続けます。

Before

ここをクリックして表示したいテキストを入力してください。

After

ここをクリックして表示したいテキストを入力してください。
  
このブロックはPCの画面サイズで非表示設定になっています
公開ページで表示したい場合は「ブロックの設定」から変更してください

左上1番 インプラント治療/40代男性

10年前につけた差し歯が取れてしまい、骨が少なく
「インプラント治療はできない」と他院で言われて
悩んでいました。
知人の紹介でクリーン歯科を受診したところ、
先生と衛生士さんがとても親身に話を聞いてくださり、
不安も安心に変わりました。

治療中は少し怖さもありましたが、
痛みもほとんどなく、仕上がりは本当に自然で綺麗。
見た目も噛み心地も大満足です。
「インプラントをやって本当に良かった」と
心から思っています。
これからも定期検診に通い続けます。

Before

ここをクリックして表示したいテキストを入力してください。

After

ここをクリックして表示したいテキストを入力してください。
治療前:10年前につけた差し歯が
取れてしまった。

治療後:見た目も噛み心地も自然で綺麗な
仕上がりになった。

治療期間:約8ヶ月、費用:約45万円
副作用・リスク:天然歯と同じように
歯周病になる可能性があります。
長持ちのために定期検診をお勧めします。

(40代・男性)※個人の感想です
  
このブロックはスマートフォンの画面サイズで非表示設定になっています
公開ページで表示したい場合は「ブロックの設定」から変更してください

インプラント治療/50代女性

「噛める喜びを取り戻せた」—インプラント治療を受けて本当によかったです。

虫歯で奥歯を失ってから、しばらくの間そのままにしていました。
噛みにくく、食事中に物が詰まることも多く、自然と反対側でばかり噛むようになっていました。
そのうち顎が痛くなり、「このままではいけない」と思い、蒲田駅直結のクリーン歯科に相談しました。

「インプラントは手術で怖い」というイメージがありましたが、
先生が治療方法から費用、最終的な仕上がりまで丁寧に説明してくださり、安心してお任せできました。

手術はわずか20分ほどで終わり、痛みも腫れも一切ありませんでした。
先生の経験と技術の高さを本当に感じました。
治療後はすぐにしっかり噛めるようになり、食事の時間がまた楽しみになりました。
今では見た目も自然で、どの歯がインプラントか分からないほどです。
これからは定期的にメンテナンスに通い、大切にしていきたいと思います。

Before

ここをクリックして表示したいテキストを入力してください。

After

ここをクリックして表示したいテキストを入力してください。
  
このブロックはPCの画面サイズで非表示設定になっています
公開ページで表示したい場合は「ブロックの設定」から変更してください

インプラント治療/50代女性

「噛める喜びを取り戻せた」
—インプラント治療を受けて本当によかったです。

虫歯で奥歯を失ってから、
しばらくの間そのままにしていました。
噛みにくく、食事中に物が詰まることも多く、
自然と反対側でばかり噛むようになっていました。
そのうち顎が痛くなり、
「このままではいけない」と思い、
蒲田駅直結のクリーン歯科に相談しました。

「インプラントは手術で怖い」という
イメージがありましたが、先生が治療方法から費用、
最終的な仕上がりまで丁寧に説明してくださり、
安心してお任せできました。

手術はわずか20分ほどで終わり、
痛みも腫れも一切ありませんでした。
先生の経験と技術の高さを本当に感じました。
治療後はすぐにしっかり噛めるようになり、
食事の時間がまた楽しみになりました。
今では見た目も自然で、
どの歯がインプラントか分からないほどです。
これからは定期的にメンテナンスに通い、
大切にしていきたいと思います。

Before

ここをクリックして表示したいテキストを入力してください。

After

ここをクリックして表示したいテキストを入力してください。
治療前:虫歯で奥歯を失ってから、しばらくの間
そのままにしていた。

治療後:見た目も自然でしっかり噛めるように
なった。

治療期間:約4ヶ月、費用:約35万円
副作用・リスク:インプラントは天然の歯と
同じように、歯周病(インプラント周囲炎)に
なる可能性があります。また、まれに手術後に
腫れや違和感が出る場合もありますが、
ほとんどの場合は数日で落ち着きます。
クリーン歯科では術前の診査・診断を丁寧に行い、リスクを最小限に抑える治療を徹底しています。
定期的なメンテナンスを受けていただくことで、
長く快適にお使いいただけます。

(50代・女性)※個人の感想です
余白(40px)

料金のご案内

フィクスチャー代金
20万円(税込)〜
インプラント上部構造
13万円(税込)〜
骨を添加する場合(GBR)
3万円(税込)〜
アバットメント代金
3万円(税込)〜
見出し
ここをクリックして表示したいテキストを入力してください。テキストは「右寄せ」「中央寄せ」「左寄せ」といった整列方向、「太字」「斜体」「下線」「取り消し線」、「文字サイズ」「文字色」「文字の背景色」など細かく編集することができます。
※上記は目安料金です。患者様の症例により異なりますので、詳しくはカウンセリング時にお見積もりをご提示いたします。

【お支払い方法】

現金(窓口・お振込み)
各種クレジットカード対応
デンタルローン(分割払い可能)

※インプラント治療は医療費控除の対象です。
詳細はカウンセリング時にご説明いたします。
余白(40px)
  
このブロックはスマートフォンの画面サイズで非表示設定になっています
公開ページで表示したい場合は「ブロックの設定」から変更してください

インプラント担当医のご紹介

  
このブロックはPCの画面サイズで非表示設定になっています
公開ページで表示したい場合は「ブロックの設定」から変更してください

インプラント担当医の
ご紹介

医療法人 和晃会  大山 晃一
  • 日本口腔インプラント学会 専修医
  • 日本口腔インプラント学会 100時間コース修了
  • 5-D JAPAN Endo-Restoration サポーター
  • THREEE. 幹部
  • インプラント治療歴:12年

私は「歯を残すこと」に強みを持つ歯科医師です。
だからこそ、どうしても歯を残せない状況、
もしくはすでに歯を失っている場合にしか
インプラント治療は行いません。
実際に父にもインプラント治療を行った経験が
あり、患者さまにとって本当に最善な選択を
一緒に考え、寄り添いながら治療を進めることを
大切にしています。
また、「骨が少ないからインプラントは無理」と
他院で断られた患者さまも、どうぞご相談
ください。近年はさまざまな手技や治療法が
進歩しており、私自身も研鑽を重ねることで、
難症例にも対応が可能です。
私たちはまず徹底的に歯を残す努力をします。
それでもやむを得ず抜歯となるとき、
インプラント治療はとても良い選択肢です。
大切な歯の選択だからこそ、確かな技術と経験を
持つ歯科医師にお任せください。
見出し
ここをクリックして表示したいテキストを入力してください。テキストは「右寄せ」「中央寄せ」「左寄せ」といった整列方向、「太字」「斜体」「下線」「取り消し線」、「文字サイズ」「文字色」「文字の背景色」など細かく編集することができます。
クリーン歯科 院長 大森駿祐
  • 日本口腔インプラント学会 会員
  • MMIAインプラント100時間コース受講
  • Young ITI インプラントセミナー受講
  • 日本大学松戸歯学部 歯周治療学講座 研究生

私はインプラント治療は、歯が生まれ変わるような
とても素晴らしい治療だと考えております。
歯を失ってしまうと噛み合わせが変化してしまい、
顔のバランスが変化してしまう事や長期的に見ると
認知症などの全身の健康にも大きく影響してきます。まずは歯を残す事を最優先しますが、難しい場合は
インプラントのメリット・デメリットもお伝えし、
しっかりとカウンセリングをさせていただきます。
インプラントを入れて終わるだけでなく、
その後のメンテナンスまで考えた治療を一緒に
行っていければと考えております。
歯のことでお悩みがあれば、ぜひ一度ご相談
ください。
見出し
ここをクリックして表示したいテキストを入力してください。テキストは「右寄せ」「中央寄せ」「左寄せ」といった整列方向、「太字」「斜体」「下線」「取り消し線」、「文字サイズ」「文字色」「文字の背景色」など細かく編集することができます。
当院には、勉強熱心で日々研鑽を重ねている歯科医師が12名在籍しています。
担当医をご希望・ご指名の場合は、受付にてお申し付けください。
余白(40px)

よくあるご質問

Q
手術は痛いですか?
A
局所麻酔を使用するため、手術中の痛みは
ほとんどありません。術後の腫れや痛みも
個人差はありますが、処方する痛み止めで
対応いたします。
Q
年齢制限はありますか?
A
顎が完全に成長していない成長発育中の
子どもには適していません。
顎の骨の成長が完了していれば、
年齢の上限は特になく、40~60代、
それ以上の方にも治療をご提供しています。
Q
メンテナンスは大変ですか?
A
特別困難なことはありません。
歯科衛生士がブラッシング方法を指導し、
定期検診でサポートいたします。
Q
他院でインプラント出来ないと
言われました。
A
当院では不足している骨を再生させる処置も
準備しております。まずはご相談下さい。
Q
高血圧や糖尿病だとインプラント
出来ないのですか?
A
ガイドラインではできます。かかりつけ医との
対診をとって正確に診査診断していきます。
Q
ここをクリックして表示したいテキストを入力してください。
A
ここをクリックして表示したいテキストを入力してください。テキストは「右寄せ」「中央寄せ」「左寄せ」といった整列方向、「太字」「斜体」「下線」「取り消し線」、「文字サイズ」「文字色」「文字の背景色」など細かく編集することができます。テキストテキストテキストテキストテキストテキストテキストテキストテキスト...。テキストテキストテキストテキストテキストテキストテキストテキストテキスト...。テキストテキストテキストテキストテキストテキストテキストテキストテキスト...。
余白(40px)

アクセス・診療時間

クリーン歯科
〒144-0051 東京都大田区西蒲田7-68-1
グランデュオ蒲田 西館9F
TEL: 03-5713-6307

アクセス:
JR蒲田駅直結 グランデュオ蒲田 西館9F

診療時間:
月〜日・祝日 10:00-14:00 / 15:00-19:00
(年中無休で診療)
余白(40px)
  
このブロックはスマートフォンの画面サイズで非表示設定になっています
公開ページで表示したい場合は「ブロックの設定」から変更してください


まずは無料相談であなたのお悩みをお聞かせください

  
このブロックはPCの画面サイズで非表示設定になっています
公開ページで表示したい場合は「ブロックの設定」から変更してください


まずは無料相談で
あなたのお悩みを
お聞かせください


  
このブロックはスマートフォンの画面サイズで非表示設定になっています
公開ページで表示したい場合は「ブロックの設定」から変更してください
「インプラント治療に興味はあるけれど、まだ検討中」
「自分の場合はどのような治療になるのか知りたい」
「費用について詳しく聞きたい」
どんなことでも構いません。まずはお気軽にご相談ください。
  
このブロックはPCの画面サイズで非表示設定になっています
公開ページで表示したい場合は「ブロックの設定」から変更してください
「インプラント治療に興味はあるけれど、まだ検討中」
「自分の場合はどのような治療になるのか知りたい」
「費用について詳しく聞きたい」
どんなことでも構いません。
まずはお気軽にご相談ください。
  
このブロックはスマートフォンの画面サイズで非表示設定になっています
公開ページで表示したい場合は「ブロックの設定」から変更してください

お電話からの無料相談予約も受け付けています

受付時間:10:00-19:00
  
このブロックはPCの画面サイズで非表示設定になっています
公開ページで表示したい場合は「ブロックの設定」から変更してください

お電話からの無料相談予約も
受け付けています

受付時間:10:00-19:00
  
このブロックはスマートフォンの画面サイズで非表示設定になっています
公開ページで表示したい場合は「ブロックの設定」から変更してください


当院では部分的なインプラント治療を中心に行っております。

1本から数本の治療が主な対象です。
すべての歯をインプラントにするフル治療については、
患者様の症例やご希望に応じてご相談させていただきます。

※治療結果には個人差があります。
リスクや副作用について、カウンセリング時に詳しくご説明いたします。
  
このブロックはPCの画面サイズで非表示設定になっています
公開ページで表示したい場合は「ブロックの設定」から変更してください


当院では部分的なインプラント治療を
中心に行っております。

1本から数本の治療が主な対象です。
すべての歯をインプラントにする
フル治療については、
患者様の症例やご希望に応じて
ご相談させていただきます。

※治療結果には個人差があります。
リスクや副作用について、
カウンセリング時に詳しくご説明いたします。